3

參加人數

議題提供單位

ITRI 工業技術研究院成立於1973年,以科技研發,帶動產業發展,創造經濟價值,增進社會福祉為任務;成立四十多年來,累積近3萬件專利,並新創及育成281家公司。

簡介

人工智慧應用研究員」,徵的就是你!

透過AIdea,擴大徵選「醫學影像檢測」演算工程團隊成員。解題表現優異,將獲得面試機會

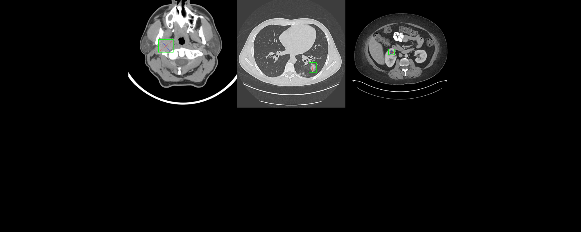
美國國立衛生研究院(NIH)公開擁有32,000張電腦斷層掃描(Computed Tomography, 簡稱CT)影像的大型成像資料庫,稱為DeepLesion,資料來自NIH臨床中心(Clinical Center)4,400多名病患。不同於目前公開的病變醫學影像資料庫,僅能偵測單一類型病變,DeepLesion涵蓋範圍為全身,如肺結節、肝腫瘤、淋巴結腫大等。

請使用下載的資料庫與灰階CT影像,建置用於偵測病變位置的模型,位置共有8種,分別為:

Bone—骨頭

Abdome—腹部

Mediastinum—縱膈

Liver—肝臟

Lung—肺臟

Kidney—腎臟

Soft tissue—軟組織

Pelvis—骨盆

資料來源:https://www.nih.gov/news-events/news-releases/nih-clinical-center-releases-dataset-32000-ct-images

活動時間

2020 年 01 月 01 日 00:00:00 開始

評估標準

規則

  • 禁止使用任何人工標記或外部資料。
  • 活動評估結果以最後上傳的結果為基準,若評估分數一致時,以上傳時間優先為主。
  • 若活動發生舞弊行為,則舞弊之解題者將被取消參加資格,並依排名順位遞補。
  • 本活動不開放組隊。
  • 測試資料的答案上傳後,將分為兩部份計算:
    • 活動時間截止前,系統僅參照部份測試資料的真實數值(Ground Truth)來驗證與計算分數,並公佈於 Public Leaderboard;此資料佔全部測試資料的 50%。
    • 活動時間截止後,系統將會參照剩餘測試資料(50%)的真實數值(Ground Truth)來驗證與計算分數,並公佈於 Private Leaderboard,以作為最終成績和最後的排名依據。